At Brodine Prosthodontics in Rochester, NY, we specialize in the diagnosis and treatment of TMJ disorders, offering a personalized and comprehensive approach to help you find relief. Our goal is not just to treat the symptoms but to identify and correct the underlying cause, giving you back a life free from chronic pain.
What is TMJ Disorder?

When these muscles and joints are not working properly, you may experience symptoms such as headaches, jaw pain, clicking or popping sounds, difficulty chewing, or even ringing in your ears. At Brodine Prosthodontics, we specialize in the diagnosis and treatment of TMJ disorders, and we understand that each case is unique. Our approach is to provide a thorough, personalized evaluation to determine the root cause of your symptoms, ensuring we can provide the most effective treatment for you.
Our advanced TMJ treatments at Brodine Prosthodontics include:
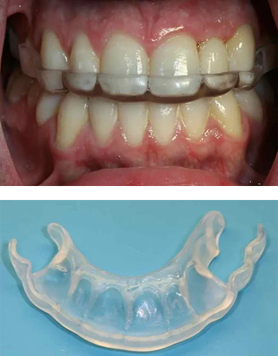
Custom-Made Orthotics
One of the most effective and conservative treatments for TMJ is a custom-made oral appliance, or orthotic. This device is worn over your teeth, similar to a mouthguard, to help reposition your jaw and relieve pressure on the joint. It is designed to provide a more comfortable and stable bite, reducing muscle tension and allowing the jaw to rest in a relaxed position. Unlike over-the-counter options, our orthotics are precisely crafted to fit your mouth, providing superior comfort and results.
Medicinal Therapy for TMJ
When a patient's TMJ is causing significant pain, inflammation, or muscle spasms, medicinal therapy can be a crucial part of a comprehensive treatment plan. Our doctors may recommend over-the-counter or prescription-strength anti-inflammatory drugs, muscle relaxants, or in some cases, therapeutic injections to manage symptoms and provide relief while other therapies, such as an orthotic device, take effect.
Prosthodontic Restoration
In some cases, a patient's bite may be the cause of their TMJ issues. As specialists in prosthodontics, we are uniquely qualified to correct these issues. We may use crowns, bridges, or other restorations to create a more balanced bite, alleviating the stress and strain on the temporomandibular joint.
Surgical Referrals

Reclaim Your Smile from TMJ Pain
Don't let TMJ pain control your life any longer. Our team can help you find lasting relief through our advanced and personalized treatment options. Call us today to take the first step with a consultation. We'll discuss your symptoms and explore how a custom-made orthotic device, medicinal therapy, or other treatments can restore comfort and function to your jaw!