Upper Full-arch Implant Bridge


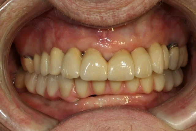
Upper and Lower Full-arch Implant Fixed Bridges



Upper Complete Denture and Lower Full-arch Implant Fixed Bridge


Natural Tooth Crowns and Implant Crowns


Crown Lengthening and Teeth Whitening


Crown Lengthening and Dental Crowns and Bridges


Crown Lengthening, Teeth Whitening, Porcelain Veneer, Maryland Bridge


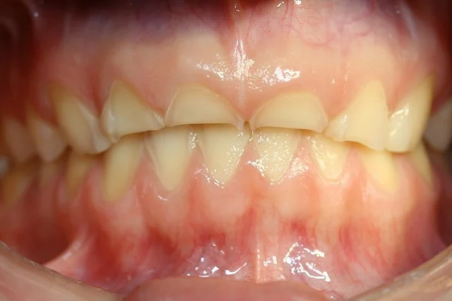
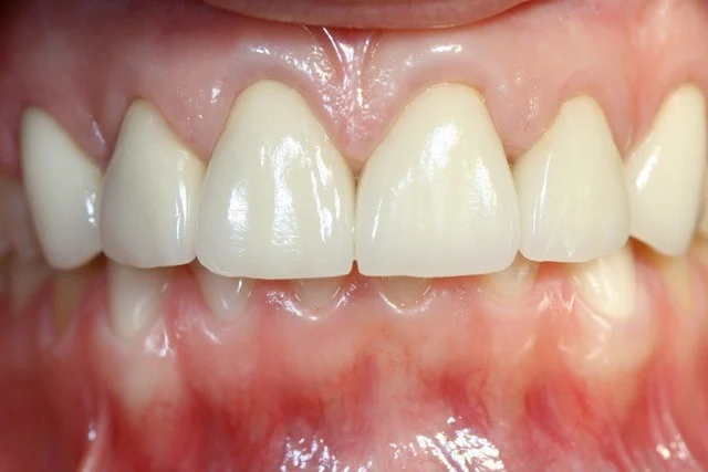
Crown Lengthening, Upper Crowns, Lower Porcelain Teeth Veneers




Implant Dental Crowns

